인공지능 전문의 판독을 뛰어넘다
놀라울 정도로 발전하고 있는 세상에 살고 있는 우리는 인공지능의 발전을 어느 정도 체감하고 있을까. 인공지능 전문의 판독을 뛰어넘었다는 뉴스가 여러 매체에서 발표되면서 각종 검사를 판독하는 영역에서 의사보다 인공지능의 판단이 더욱 정확하다는 연구가 연이어 나오고 있다. 머신러닝 기법으로 수많은 사례를 단숨에 학습할 수 있는 인공지능의 특성상 그 정확도는 시간이 갈수록, 데이터가 쌓일수록 더욱 높아질 것으로 인공지능 전문의 판독을 능가하는 발전에 관심을 가져 보자.

인공지능(AI )에 대한 이해
인공지능(AI : Artificial intelligence)은 인간의 학습능력과 추론 능력, 자연언어의 이해능력 등을 컴퓨터 프로그램으로 실현한 기술이다. 인간의 지능으로 할 수 있는 사고, 학습, 자기 계발 등을 컴퓨터가 할 수 있도록 하는 방법을 연구하는 컴퓨터 공학 및 정보기술의 한 분야로서, 컴퓨터가 인간의 지능적인 행동을 모방할 수 있도록 하는 것을 인공지능이라고 말한다.
인공지능 전문의 판독 도와 의료현장 전면사용
몇 년 전만 해도 의료 영상으로 암을 판단하는 의료진을 보조하는 데 도움을 줄 것으로 평가됐던 인공지능 의료 AI가 인간 의사 전문의를 능가한다는 연구결과가 속속 나오고 있다. 그 중심에는 루닛 등 국내 의료 AI 스타트업이 있다. 변방에 머물렀던 인공지능 의료 AI가 진단을 중심으로 의료 현장 전면으로, 의료 패러다임 전환이 현실화할 것이라는 전망이 나온다.

의료계에 따르면 올해 상반기 세계적 권위의 저널 네이처(Nature)의 자매지 사이언티픽 리포트(Scientific Reports)에는 흥미로운 주제의 논문이 하나 게재되었고, 머신러닝을 적용한 인공지능이 엑스레이 사진 분석에서 전문의 5명보다 우수한 정확도를 보였다는 내용이었으며 일부 영역 전문의보다 더 정확하게 진단한다는 것이다. 영상 분석 등 인공지능의 판독 정확도가 전문의사의 판독보다 20%가량 높은 것으로 나타났다.

인공지능 전문의보다 일부 영역 더 정확하게 진단
영국 베스대학교(University of Bath)에서 개발한 컨볼루션 신경망(CNN) 머신 러닝의 정확도를 검증하기 위해 진행된 연구에서 영국 내 의료기관에서 전문의들이 X레이를 통해 분류한 고관절 골절 사례 데이터 세트를 인공지능 머신 러닝으로 학습시켜 과연 얼마만큼의 정확도를 내는지 보기 위한 것으로, 고관절 골절이 노인 사망에 직접적인 영향을 주는 데다 골절 시 48시간 내에 정확하게 이를 진단해 수술 등을 고려해야 하지만 여전히 이에 대한 대처가 늦어지고 있기 때문이다.
실제로 영국의 경우 X레이 등 방사선 사진의 촬영량은 1996년부터 2014년까지 연평균 25%씩 증가하고 있지만 영상의학과 등 전문 인력은 이에 따라가지 못하고 있는 실정으로 연구진은 총 2364개의 X레이 등 방사선 사진을 기반으로 전문의의 판독 내용과 인공지능 머신러닝이 끝난 AI 간에 정확도를 비교했다. 전문의의 판독은 교차, 순차적 진행 방식으로 진행 1차 전문의가 골절이냐 아니냐를 판단하고 골절이 아니라고 판단한 X레이를 2차 전문의에게 전달해 또다시 골절인지 아닌지를 판독한 뒤 여기서도 아니라는 결과가 나오면 3차 전문의에게 또다시 판독을 의뢰해 최대 5차까지 검증하는 방식이었다.

그 결과 이렇게 최대 5명의 전문의를 거치며 판독을 마친 결과에 대한 정확도는 77.5%로 분석됐다. 10건 중 2건 정도는 실제 골절을 놓쳤다는 의미가 된다. 이 데이터 세트를 머신 러닝 한 의료 AI를 통해 이를 판독하게 한 결과 정확도는 92%를 기록했다. 인공지능 판독이 전문의 판독 정확도보다 무려 19%나 높게 나타난 것으로, 인공지능 전문의 판독을 뛰어넘는 정확도를 나타내어, 앞으로 인공지능과 협업된 의료 판독을 통해 의사의 부담을 경감하는데 큰 도움을 기대하고 있다.

style="background-color: #ffffff; color: #424242;">또한 흉부 영상 촬영은 검진에서 가장 빈도가 높은 검사 중 하나로 서울아산병원은 뷰 노메드 인공지능 체스트 엑스레이를 통해 흉부 촬영 영상에서 증상이 있다고 판단되는 사례를 먼저 판독하도록 하고 있으며 이미 결절과 경화, 기흉 등 5종의 흉부 이상 소견에 대한 우수한 민감도를 입증해 2019년 8월 식품의약품 안전처의 허가를 받았다. 의료진의 영상 판독 효율성과 정확도를 높여 보다 정확한 건강검진 서비스를 제공하는 데 도움이 될 것을 기대하고 있다.

여의도성모병원 안과병원 연구팀은 인공지능으로 눈꺼풀 마이봄샘 영상을 판독하는 기술을 개발해 정확도를 입증했다. 마이봄샘은 눈꺼풀에 있는 일종의 피지샘으로, 마이봄샘 기능장애는 안구건조증의 대표적 원인으로 연구팀이 인공지능을 학습시킨 후 판독 결과를 2명의 안구건조증 전문의와 비교했더니, 마이봄샘 소실 정도의 검증 정확도에서 인공지능이 73.01%로 전문의(53.44%) 보다 우세했다.

이와 함께 노원을지대병원 신경과 연구팀은 최근 근전도 검사에서 인공지능의 판독이 전문의보다 정확하다는 연구 결과를 발표했으며, 2015~2020년 근육병이 의심돼 근전도 검사를 받았던 환자 57명의 데이터를 인공지능에 적용, 분석 후 이를 통해 확인한 인공지능의 정확도는 88%, 민감도는 82%, 양성 예측도는 86%였다.
반면 6명의 의사가 같은 조건으로 근전도 검사를 판독한 결과 정확도는 69%, 민감도는 54%, 양성 예측도는 60%에 그쳤다. 특히 인공지능은 최종 진단을 내놓는데 1초면 충분했으나, 의사들은 평균 30~40분가량 소요됐다. 인공지능을 이용한 근전도 판독이 빠르고 정확했다며, 인공지능 판독이 근전도에도 적용된다면 신경 근육 질환자를 더 정확하고 빠르게 진단하는 중요한 역할을 할 것으로 기대하고 있다.

인공지능 AI 전문의 진단 결합
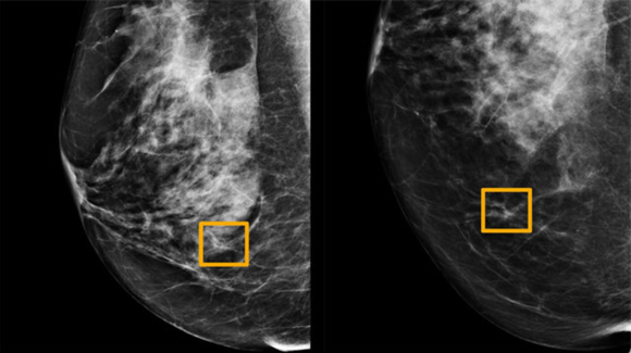
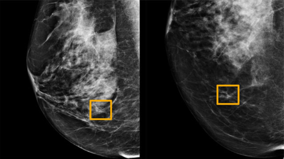
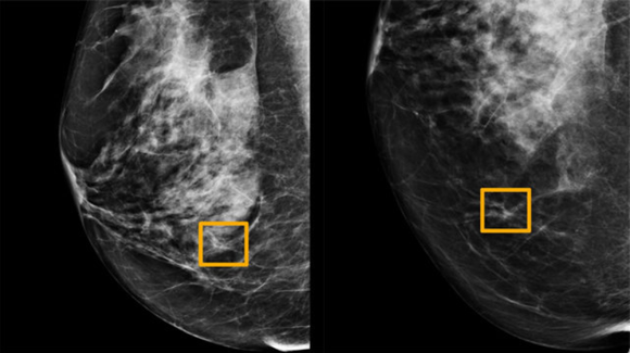
국내 첫 의료AI 스타트업으로 지난 2013년 설립된 루닛은 이달 1일 노벨 생리의학상 수상자를 선정하는 스웨덴 왕립 카롤린스카연구소가 진행한 유방암 진단 AI 비교 연구에서 최고 평가를 받았다. 유방암을 정확하게 찾아내는 민감도 지표가 81.9%로 의사들의 77.4%보다 높은 것으로 분석됐다. 또 다른 국내 스타트업인 뷰노는 흉부 엑스레이 영상 판독 AI가 서울아산병원 건강증진센터에서 활용되기 시작, 인공지능 AI와 전문의가 함께 진단을 결합하면 정확도는 더 높아진다
이 같은 인공지능의 판독 정확도 발전은 궁극적으로 의사의 판독을 보조해 업무 부담을 경감시킬 수 있는 데다 신속, 정확한 진단이 가능해 의료서비스 전반의 질 향상으로 이어질 것으로 기대된다. 특히 영상 판독 전문의가 부족한 의료 소외지역에서 요긴하게 활용할 수 있을 것으로 의료계는 보고 있다.

유방암 검진을 위한 구글의 인공지능(AI) 모델을 의료 이미징 시스템에 통합하기 위해 의료 기술 회사인 아이캐드(iCAD)와 구글이 계약을 체결했다. 이는 구글의 유방조영술 AI 모델에 대한 첫 라이선스 및 상용화 계약이어서 주목된다. 구글은 이 기술을 실제 임상에 적용할 예정이며 아이캐드의 기술은 미국 전역과 전 세계 7500여 개의 의료 시스템 및 이미징 센터에서 사용된다. 구글의 유방 조영술 AI 연구 모델을 아이캐드의 기존 도구에 통합할 계획으로 첫 번째는 3D 유방 조영술이라고도 하는 고급 이미징 기술인 DBT(디지털 유방 합성법)의 이미지를 분석하는 프로 파운드 AI(ProFound AI) 도구다

이 도구는 악성 연조직 밀도 및 석회화를 찾기 위해 DBT 이미지를 스캔한다. 아이캐드는 또한 위험 평가 도구에도 구글의 모델을 사용한다. 구글은 2018년에 영국 및 미국의 임상 연구 파트너와 협력하여 유방암 진단을 개선하기 위한 AI 모델을 테스트하기 시작했고 이 2020년 네이처 저널에 자사의 AI 모델이 유방암 징후를 식별하는 데에서 방사선 전문의를 능가한다는 논문을 발표한 바 있다. 이 논문은 위양성(false positive)을 최대 5.7%, 위음성(false negative)을 최대 9.4%까지 줄일 수 있었다는 초기 연구 결과를 공유했다.
인공지능 의료현장에 투입되는 AI 코로나19 도움
신종 코로나바이러스 감염증(코로나19) 분석과 치료제 후보물질 개발에도 AI의 역할이 커지고 있다. 루닛은 폐 진단 보조 AI 소프트웨어 루닛 인사이트 CXR이 코로나19 검출과 의심환자 선별에 도움을 준다는 연구결과를 이달 9일 발표했다. 서울대병원 영상의학과 연구팀은 올해 1월 31일부터 코로나19 확진 판정을 받거나 감염이 의심되는 환자 전원을 대상으로 루닛 인사이트 CXR을 이용해 영상판독을 시행했다.
